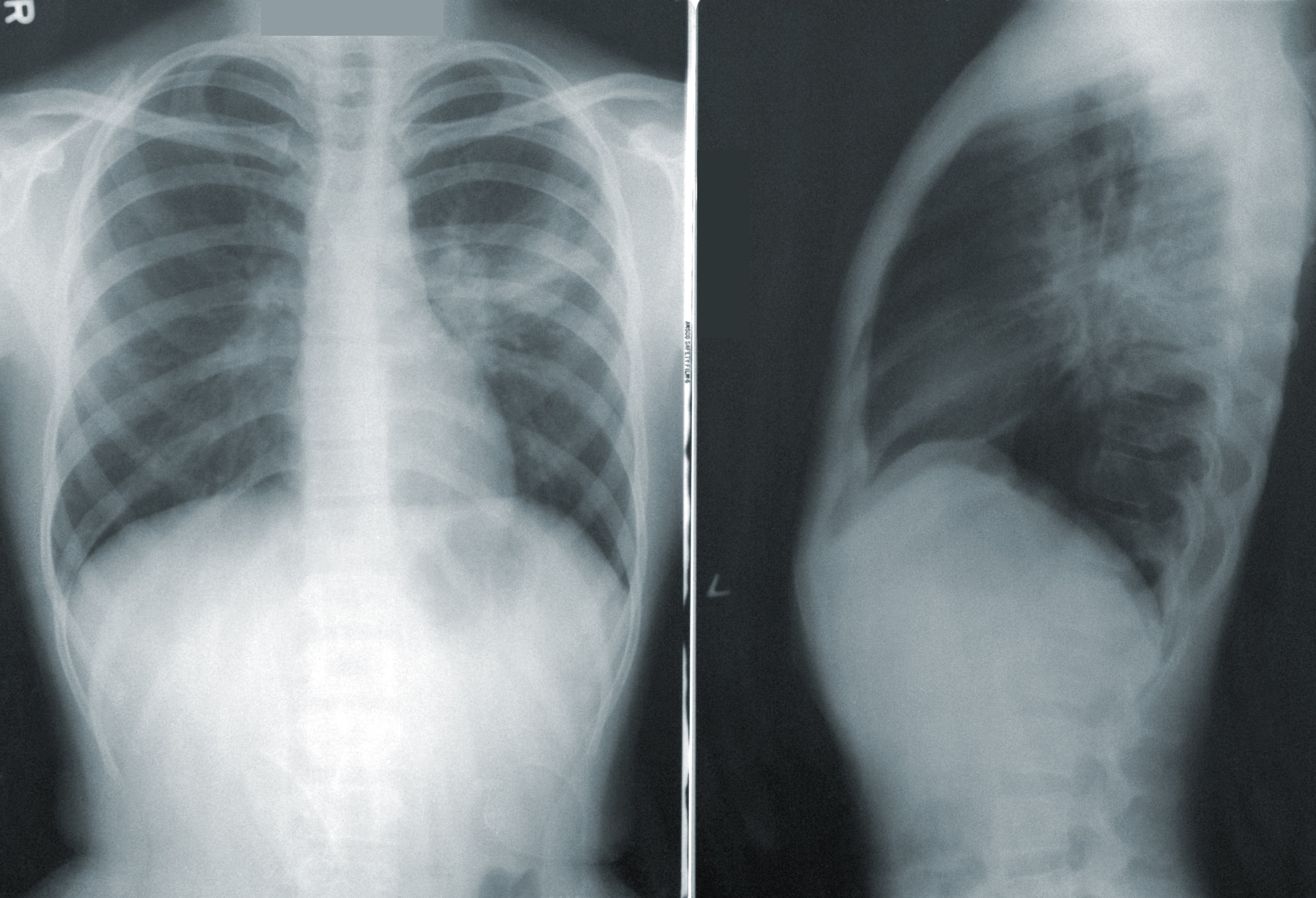
An Image classification project based on Convolutional Neural networks (CNN). The X-ray images were pre-processed and scaled using Keras preprocessing tools and were then trained on a custom CNN. A pretrained model ResNet was also used on top of the custom CNN to improve the performance of the model.

-->